Quando l’equilibrio del viso si rompe
Asimmetria mandibolare e faccia storta.
Guardarsi allo specchio e notare che un lato del viso non è uguale all’altro è comune.
Quasi sempre è solo una piccola differenza naturale.
A volte, però, dietro quell’impressione di “faccia storta” c’è una deviazione della mandibola o del mascellare che può influire su funzione, sorriso e armonia del volto.
In questa pagina vediamo cosa significa avere un’asimmetria mandibolare, da dove nasce e quando può essere utile un trattamento specialistico. →
Cos’è l’asimmetria del volto
Nessun volto umano è perfettamente simmetrico.
Piccole differenze tra il lato destro e sinistro
nella forma del naso, nell’altezza delle arcate o nella linea del sorriso sono la norma.

Parliamo invece di asimmetria facciale o mandibolare quando la differenza è evidente e altera la percezione di equilibrio del viso: il mento può apparire spostato, una guancia più piena, o il sorriso inclinato.
Le cause possono essere congenite, cioè presenti fin dalla crescita, oppure acquisite, legate a traumi, malocclusioni dentarie o disturbi dell’articolazione temporo-mandibolare.
Un volto perfettamente simmetrico è raro. Tuttavia, quando le differenze tra le due metà del viso diventano evidenti e strutturate, si parla di asimmetria mandibolare.
L’asimmetria mandibolare?
Questa condizione può manifestarsi in modi diversi, tra cui:
- deviazione della mandibola verso un lato a bocca chiusa
- differenze di lunghezza o di crescita tra i due lati mandibolari
- alterazioni dell’allineamento dentale con una chiusura non corretta

In molti casi, queste modifiche non sono solo estetiche, ma riflettono un problema funzionale e scheletrico più profondo.
Perché il viso può sembrare “storto”
Le cause di un’asimmetria del volto possono essere molte e non sempre immediatamente evidenti.
A volte la differenza è minima e legata alla naturale espressività muscolare; in altri casi, invece, è dovuta a una vera deviazione scheletrica della mandibola o del mascellare superiore.
Tra le cause più comuni troviamo:
-
Differenze di crescita ossea tra i due lati del viso, spesso di origine genetica.
-
Malocclusioni dentarie, cioè contatti scorretti tra i denti che “spingono” la mandibola fuori asse.
-
Traumi o fratture del volto non trattati correttamente.
-
Disturbi dell’articolazione temporo-mandibolare (ATM), che provocano deviazioni o blocchi durante l’apertura della bocca.
-
Compensazioni muscolari: quando un lato lavora più dell’altro, il viso col tempo può deformarsi visivamente.


Anche le posture scorrette, le abitudini di masticare sempre da un lato o la respirazione orale cronica possono accentuare l’asimmetria nel tempo.
Individuare la causa precisa è fondamentale, perché il trattamento cambia completamente a seconda che il problema sia dento-scheletrico, muscolare o funzionale.
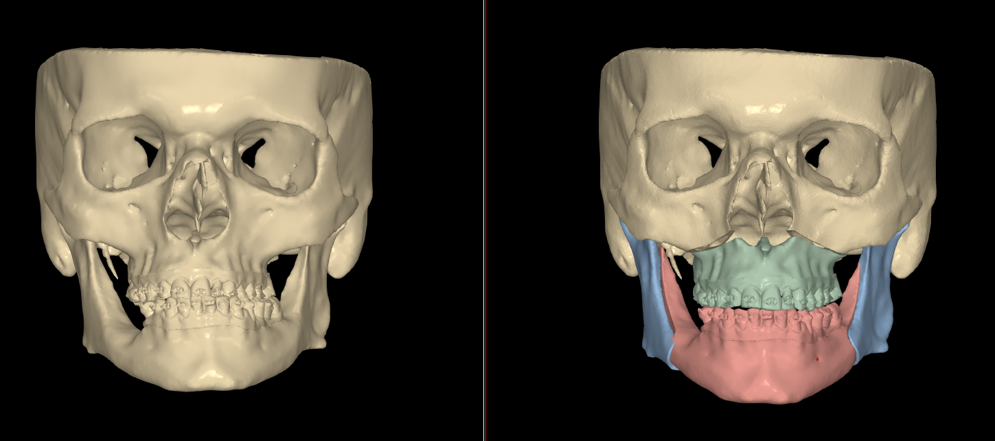
Come si arriva alla diagnosi di asimmetria del volto
Riconoscere un’asimmetria del volto non è sempre immediato, perché il nostro cervello tende a compensare visivamente piccole differenze.
Per questo la valutazione deve essere eseguita da un chirurgo maxillo-facciale con un approccio integrato che unisce esame clinico e tecnologie digitali avanzate.

La diagnosi di un’asimmetria del volto parte sempre da una valutazione clinica: si osserva come si posizionano mento e sorriso, come sono allineati occhi e arcate e se la mandibola devia quando il paziente apre la bocca.

Successivamente si eseguono fotografie standardizzate e, quando serve, un modello 3D o una TC Cone Beam, che permettono di misurare con precisione millimetrica eventuali differenze tra i due lati del viso.

Infine, grazie alla pianificazione digitale 3D, è possibile simulare lo spostamento ideale dei mascellari e prevedere in anticipo il risultato funzionale ed estetico, costruendo un percorso personalizzato per ogni paziente.
La valutazione delle asimmetrie facciali e mandibolari richiede competenze specifiche in Chirurgia Maxillo-Facciale.
Distinguere una semplice compensazione funzionale da una vera asimmetria scheletrica è fondamentale per impostare il trattamento corretto.
Per questo ogni caso viene analizzato in modo approfondito, integrando clinica e studio delle immagini.
Quando è necessario intervenire?
Quando invece l’asimmetria è marcata o progressiva, oppure provoca difficoltà nella masticazione, dolori articolari, usura dentale o un importante disagio estetico, è indicato un percorso terapeutico mirato.
Per approfondire come la chirurgia ortognatica può correggere asimmetrie scheletriche e migliorare funzione ed estetica, visita la nostra pagina dedicata sulle soluzioni chirurgiche per deformità facciali e armonia del volto.

Nei casi in cui la causa sia principalmente dentale o muscolare, può essere sufficiente un trattamento ortodontico o funzionale.
Serve una soluzione chirurgica, predicibile e stabile!
Quando invece l’asimmetria è scheletrica, cioè legata alla posizione o alla crescita delle ossa del volto, la soluzione più stabile e definitiva è la chirurgia ortognatica, spesso associata a un trattamento ortodontico prima e dopo l’intervento.
Non tutto va corretto. Spesso va solo compreso.
Non tutte le asimmetrie del volto richiedono un trattamento chirurgico.
In molti casi si tratta di differenze lievi, che non compromettono né la funzione né l’armonia complessiva del viso e che possono semplicemente essere monitorate nel tempo.
In alcuni casi selezionati, una lieve asimmetria può essere gestita con un trattamento mirato a base di tossina botulinica.

Non ogni asimmetria è una patologia.
Molte differenze fanno parte dell’unicità di ogni volto.
L’obiettivo non è solo migliorare l’aspetto del viso, ma ristabilire un corretto equilibrio tra funzione ed estetica, rispettando le caratteristiche individuali di ogni paziente.
Se noti un’asimmetria del volto o una deviazione della mandibola, una valutazione specialistica è il primo passo per capire la natura del problema e le possibili soluzioni.
Se noti un’asimmetria del volto o una deviazione della mandibola, una valutazione specialistica è il primo passo per capire la natura del problema e le possibili soluzioni.
Domande frequenti sull’asimmetria del volto
Un mento deviato può essere legato a una crescita asimmetrica delle ossa del volto, a un morso scorretto o a compensazioni muscolari. In alcuni casi è solo un aspetto estetico, in altri riflette un problema strutturale.
La percezione di un viso “storto” può dipendere da posture abituali, espressioni muscolari, malocclusioni dentarie o da una reale asimmetria scheletrica. Le immagini spesso accentuano differenze che nella vita quotidiana sono meno evidenti.
Sì. Un morso scorretto o una malocclusione possono spingere la mandibola fuori asse nel tempo, contribuendo all’asimmetria del volto.
Un mento deviato può essere dovuto a una crescita asimmetrica delle ossa del volto, a una malocclusione dentale o a compensazioni muscolari. In alcuni casi è solo un aspetto estetico, in altri riflette un problema scheletrico.
Sì. Nessun volto è perfettamente simmetrico. Piccole asimmetrie sono normali e fanno parte dell’unicità di ogni viso. Quando però la differenza è evidente o associata a disturbi funzionali, può essere utile un approfondimento.
La sensazione di avere la “faccia storta” può dipendere da molte cause: differenze naturali tra i due lati del volto, problemi di masticazione, malocclusioni dentarie o, in alcuni casi, da una vera asimmetria della mandibola. Solo una valutazione specialistica permette di capirne l’origine.
In alcuni casi sì, soprattutto se legata a malocclusioni, compensazioni muscolari o problemi dell’articolazione temporo-mandibolare. In altri casi resta stabile. Una valutazione specialistica permette di capire l’evoluzione nel tempo.
In alcuni casi selezionati, soprattutto quando l’asimmetria è lieve e non di origine scheletrica, è possibile migliorare l’equilibrio del volto con trattamenti non chirurgici. Le principali opzioni includono:
-
Filler dermici
I filler a base di acido ialuronico possono essere utilizzati per compensare piccole differenze di volume, ad esempio a livello degli zigomi, della mandibola o del profilo nasale. -
Tossina botulinica
La tossina botulinica può ridurre l’attività di muscoli iperattivi su un lato del volto, contribuendo a correggere lievi asimmetrie, come quelle di sopracciglia o labbra. -
Fili di trazione
Procedura mini-invasiva che utilizza fili riassorbibili per sollevare tessuti lievemente ceduti e migliorare la simmetria del viso. -
Lipofilling (innesto di grasso autologo)
Il trasferimento di grasso prelevato dallo stesso paziente può essere indicato per correggere discrepanze di volume in casi selezionati. -
Trattamenti ortodontici
In presenza di malocclusioni, apparecchi ortodontici o allineatori trasparenti possono migliorare l’allineamento dentale e contribuire all’equilibrio facciale.
È importante sottolineare che questi trattamenti non sostituiscono la chirurgia quando l’asimmetria è di origine scheletrica. Una valutazione specialistica è fondamentale per individuare il percorso più appropriato per ogni paziente.
